Scanning electron microscopic study of visible light curing effects on the oral mucous membrane

PDF version

Mohamed A. Ashour and Rita M. Khounganian

ABSTRACT: The present investigation was undertaken on rats to demonstrate the structural changes that took place after the exposure of the gingiva to a dental visible light curing unit. Sixteen rats were irradiated and four were considered as controls. The mandibular right first molar was exposed to radiation for 40 seconds. The animals were classified into four groups (4 experimental and 1 control) and were sacrificed immediately, 2 days, 4 days and 2 weeks after exposure. Specimens were processed for ultrastructural and light microscopic investigations. The results indicate that emission from dental light curing units can affect the oral mucous membrane and may reduce its functional abilities.


Etude au microscope électronique à balayage des effets de la photopolymérisation sur la muqueuse orale

RESUME: Cette étude a été réalisée sur des rats pour démontrer les changements structurels qui s'opèrent après exposition des gencives à un appareil de photopolymérisation. Seize rats ont été irradiés et quatre autres ont été considérés comme témoins. La première molaire mandibulaire droite a été exposée aux radiations pendant 40 secondes. Les animaux ont été classés en cinq groupes (quatre expérimentaux et un témoin) et ceux qui ont été irradiés ont été sacrifiés sur-le-champ, 2 jours, 4 jours et 2 semaines après l'exposition. Les spécimens ont été traités pour procéder à des examens ultrastructurals et au microscope optique. Les résultats indiquent que l'émission des appareils de photopolymérisation peut affecter la muqueuse orale et réduire ses capacités fonctionnelles.

Introduction

Composite resins activated by ultraviolet light and visible light have become an essential part of the armamentarium of the dentist undertaking restorative, preventive and orthodontic dentistry [1,2]. Visible light in the blue region of the spectrum has gained popularity as a source over ultraviolet light because of its ability to produce a greater depth of polymerization [3], and to avoid possible eye damage [4,5].

Ophthalmic research into the appearance of blue light lesions has not ruled out the possibility that short wavelength light (visible light with wavelengths of less than 500 nm) may contribute to premature aging of the retina and to senile macular degeneration [6]. Near ultraviolet and blue light may also cause the formation of cataract [7]. This effect is photochemical rather than thermal or structural [8]. Visible light generators produce heat which may elevate the intrapulpal temperature and/or dehydrate the dentin [9,10]. In addition, the condition and quality of the pulpal vascularity may determine the degree of damage caused by thermal trauma [11].

Recently, visible curing lights have been used as an aid in oral diagnosis. More specifically, these lights have a potential application for use in transillumination with white light for the detection of caries and calculus and the examination of existing restorations [12]. However, the current use of blue light is not without its disadvantages since the oral soft tissues surrounding the tooth cannot be completely excluded from the area of light application.

The present study was carried out experimentally on rats to demonstrate the structural changes that occur after exposure of the gingiva to a dental visible light curing unit.

Materials and methods

Twenty (20) healthy adult male albino rats weighing 220-250 g were used as test animals. The animals were kept on a standard laboratory diet during the study.

The mandibular right first molar was exposed to radiation from a dental light- curing unit for 40 seconds using Litex 600. The fibre optic probe was held 1 cm from the area exposed to the light. Sixteen animals were irradiated and four were considered as controls. The animals were classified into four groups, each comprising four experimental and one control, and they were sacrificed after exposure as follows:

Group A: sacrificed immediately after exposure

Group B: sacrificed 2 days after exposure

Group C: sacrificed 4 days after exposure

Group D: sacrificed 2 weeks after exposure.

The rats were anaesthetized with ether and sacrificed by cervical dislocation. The specimens for histological examination were dissected from the experimental sites and the oral soft tissues surrounding the exposed mandibular first molar were excised. The specimens were divided into halves and immediately fixed in glutaraldehyde-formaldehyde fixative. Half of the specimens were fixed and processed for the scanning electron microscopic investigation: critical-point dried in liquid carbon dioxide, glued to aluminium stubs, sputter-coated with gold in a fine coat (Jeol JFC 1100 E ion sputting device) and examined under the scanning electron microscope (SEM) at 25 kV and 10-6 °A beam current (Jeol JSM-5300). The other halves were processed and embedded in paraffin by conventional methods for the histological investigations using H&E stain and for the histochemical demonstration of Masson's trichrome and modified Mallory stain [13] and examined under the light microscope.

Results

Scanning electron microscopic findings

Control group. Normal configuration of the epithelial projections and ridges (Figure 1) was detected, with normal appearance of the surface keratin cells where they appeared polygonal in shape with a pitted surface (Figures 1 and 2).

Group A. Disappearance of the projections due to the effect of the light generated during exposure was noted, which resulted in intracellular oedema in comparison with the controls. Flattening of the undulated areas was apparent where the ridges were smoother and not covered by small blunt projections (Figure 3).

Group B. Oedema resulted in destruction of the intercellular junctions leading to partial or complete loss of cellular adhesion. Areas of separation and sloughing were also noted. Flattening of the undulated areas was still apparent; they were covered with numerous small blunt projections arranged in bands which were separated by areas devoid of projections (Figure 4).

Group C. Partial detachment of the keratin flakes was noted with missing squamae in some areas. Wide intercellular spaces between the superficial epithelial cells were still apparent (Figure 5).

Group D. Delayed healing and regeneration of the keratin layer was seen with few areas of sloughing. The intercellular spaces had started to be repaired with normal architecture (Figure 6).

Light microscopic findings

Control group. The control group revealed regular configuration of the epithelial cell layers and underlying connective tissue (Figure 7).

Group A. As a result of the immediate effect of light, the keratin layers were separated from each other with spaces in between (Figure 8). In some areas the keratin layer was completely lost (Figure 9).

Group B. The effect of light on the keratin layer was still apparent; the whole thickness of the keratin layer was completely separated from the underlying epithelial layers and had started to shrink and wrinkle with rapid formation of a new layer of keratin where the cells attained their nuclei. The deep layers of the epithelium appeared active showing deeply stained enlarged nuclei indicating increased activity and mitotic figures. The subepithelial connective tissue (CT) showed alterations, including areas of oedema with the presence of inflammatory cells in between the collagen fibres (Figure 10).

Group C. Restoration of the keratin layer had begun and it appeared homogeneous in structure. The basal cell layer appeared disturbed with prominent mitosis (Figure 11). The oedema in the subepithelial CT layer persisted, causing widening of the intercellular spaces in the deep layers of the CT, and dense, coarse collagen fibres and bundles directly beneath the basal cell layer were noted with dilated blood vessels and extravasated red blood cells (Figure 12).

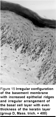
Group D. Increased epithelial thickness was noticed with a marked increase of clear cells reaching the granular cell layer. The keratin layer appeared homogeneous with increased thickness (Figure 13). Early keratinization was evident near the prickle cell layer which obscured the granular layer (Figure 14). As a result of the increased mitotic figures at the basal cell layer, irregular configuration of the basement membrane with lateral extensions of the epithelial ridges gave rise to the drop-shaped appearance seen (Figures 14 and 15).

Discussion

Recent developments in filling resin technology for tooth repair and caries prevention have led to the widespread use of visible light curing systems [14]. Most resins are polymerized by light sources which have a powerful emission of visible light [9,10].

Possible eye damage induced by such light has been investigated [7,8]. Most studies were initiated after image experiences, hue discrepancies and loss of resolution were reported by users of visible-light- curing units [15]. The preliminary results have indicated ocular damage to individuals in close proximity to the emitting tip or reflected field [4,6,15].

All previous investigations on visible light curing units used in dentistry have concentrated on the dental filling materials to be cured and the efficiency of the different light curing units, but none has discussed their effect on the surrounding exposed tissues. The first attempt was an experimental pilot study to show the effect of irradiation with dental polymerized lamps on Langerhans cells (LC) in human skin transplanted to nude mice. They reported that radiation with small therapeutic doses from a dental light curing unit with a small fraction of ultraviolet light reduced or depleted the monoclonal T6 surface markers of LCs in human epithelium [16].

In the present study, visible light radiation was applied to the mandibular first molar of rats for a period of 40 seconds, the shortest exposure time used in humans. An increase in exposure time has been recommended up to 180 seconds and more with the aim of decreasing the marginal contraction gap in dentine cavities, which is thought to reduce significantly from 6.1µm to 3.7 µm [17]. Other studies have reported that the reduction in hardness with increased curing depth in teeth suggests that extending exposure times beyond those indicated will improve the depth of cure in clinical situations [18].

The temperatures produced by the curing methods differ significantly from one device to another. Bennett et al. reported that temperature increases have caused pulpal stigmata in monkeys [14], which is in agreement with other researchers [9] who concluded that light-curing units apply enough heat to the tooth surface to potentially damage the pulp. Wavelengths above 500 nm are responsible for the heat production but contribute little to the heat curing of the composite [19].

In the present study, the temperature changes that occurred during light exposure and the heat generated have been shown ultrastructurally to produce complete loss of keratin and flattening of the undulated areas with smooth ridges immediately after exposure. Further effects were noted with time and by two weeks healing and regeneration were starting. The histological findings confirmed the scanning electron microscopic results. These findings are in agreement with a similar study which was carried out using ultraviolet light instead of visible light on rat gingival mucosa, although they did not observe an apparent pattern of increase in thickness of epithelium and keratin as we did. They concluded that substantial amounts of long-wave radiation are transmitted by the oral mucosa but with no permanent damage [20].

The findings in the present study may be attributed to the fact that epithelial cells take about 5 days to a week to reach the surface layer [21]. Because of the highly active nature of the oral mucosa, some morphological variations from its normal appearance could possibly occur supporting the above-mentioned study, which found that the epithelial lining in rats was restored to its normal condition after exposure to radiation.

The increased mitotic figures in the basal and suprabasal layers, resulting in the drop-shaped appearance of the epithelial ridges with lateral extensions, may be considered a reflex reaction of the epithelium to compensate for the missing superficial layer of keratin due to light exposure; it could be considered as a defence mechanism of the epithelium to protect the underlying connective tissue.

Conclusion and recommendations

The present study has shown that radiation, even with small therapeutic doses from a visible light curing unit used in clinical practice, affects the gingival tissues adjacent to the exposed tooth. It should be noted that although the results indicated that the effects of the radiation were only temporary, it does not mean that long-term effects might not result. Structural changes may be accentuated with prolonged exposure time to curing units.

The soft oral tissues must be taken into consideration and protected from the area of exposure to light to prevent damage and to guard against hazardous alterations. With new units entering the market, temperature control should be a factor of utmost concern and priority. If the soft tissues cannot be protected from the area of exposure, another type of filling that does not need light curing should be considered.

References

  1. Buonocore MG, Davial J. Restoration of fractured anterior teeth with ultraviolet-light-polymerized bonding materials: a new technique. Journal of the American Dental Association, 1973, 86:1349-54.
  2. Lee HL, Ortowsli JA, Rogers BJ. A comparison of ultraviolet luting and self-curing polymers in preventive, restorative and orthodontic dentistry. International dental journal, 1976, 26:134.
  3. Newman SM, Murray GA, Yates JL. Visible lights and visible-light-activated composite resins. Journal of prosthetic dentistry, 1983, 50:31-5.
  4. Zigman S et al. Effects of near-UV irradiation on lens and aqueous humor proteins. Israeli journal of medical science, 1972, 8:1590-5.
  5. Ellingson OL, Landry RJ, Bostrom RG. An evaluation of optical radiation emissions from dental visible photo-polymerization devices. Journal of the American Dental Association, 1986, 112:67-70.
  6. Ham WT. Ocular hazards of light sources: review of current knowledge. Journal of occupational medicine, 1983, 25(2):101-3.
  7. The effects of blue light on the retina and the use of protective filtering glasses. Council on Dental Materials, Instruments and Equipment. Journal of the American Dental Association, 1986, 112:533-5.
  8. Sliney DH. Biohazards of ultraviolet, visible and infrared radiation. Journal of occupational medicine, 1983, 25(3):203-6.
  9. Bodkin J, Share J. Heat generation by composite light curing units tested in vitro. Journal of dental research, 1984, 63:199.
  10. Masutani S et al. Temperature rise during polymerization of visible light activated composite resins. Journal of dental research, 1984, 63:292.
  11. Anthony HLT, James RD. Temperature rise produced by various visible light generators through dentinal barriers. Journal of prosthetic dentistry, 1988, 59(4):433-8.
  12. O'Brien WJ et al. The application of blue polymer curing lights for diagnostic transillumination. Journal of the American Dental Association, 1983, 106:839-42.
  13. Ayoub P, Shaklar G. Modification of the Mallory connective tissue stain as a stain for keratin. Oral surgery, oral medicine and oral pathology, 1963, 16:580.
  14. Bennett GE et al. Thermal effects of visible light and chemically cured resins. Journal of dental research, 1984, 63:259.
  15. Antonson DE, Benedetto MD. Ophthalmic concerns when using visible light curing units. Journal of dental research, 1984, 63:260.
  16. Bonding N et al. Effects of irradiation with dental light curing units on Langerhans cells in human stratified epithelium in heterotransplanted skin. Scandinavian journal of dental research, 1987, 95:463-6.
  17. Hansen EK, Langenvad G. Influence of irradiation time on the effect of a light-activated dentin-bonding agent. Acta odontologica Scandinavica, 1987, 45:347-51.
  18. Gress JE et al. Depth of cure of visible-light-cured compositesclinical stimulation. Journal of dental research, 1984, 63:1097.
  19. Baharav H et al. Effect of exposure time on the depth of polymerization of a visible light cured composite resin. Journal of oral rehabilitation, 1988, 15:167-72.
  20. Sayegh FS, Kendall P. The effect of ultraviolet light on rat gingival mucosa. Journal of dental research, 1984, 63:192.
  21. Provenza D. Fundamentals of oral histology and embryology, 2nd ed. Philadelphia, Lea and Febiger, 1988:64-5.